Audio By Carbonatix
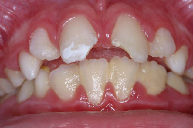
Dental Health Experts have urged persons with dental trauma (physical injury to the teeth, gums, lips and tongue) to seek early intervention at the first point of getting injured.
Dental Trauma, said to be a global phenomenon usually occurs in children when they start growing their teeth and rarely in adult when they engage in some physical activities such as fighting or sporting.
Speaking on the Ultimate Health show, Dr. Maclean Okang made mention of some relevant steps individuals need to follow when they experience a broken tooth or teeth.
"Make sure to see the broken tooth in the mouth. Don't pick a broken teeth by the root and make sure to keep it in saliva or saline solution, then you can head to see a dentist," he said.
He also advised individuals who experience unusual toothache to visit their dentists for immediate attention.
Also on the show, Dr. Yaw Asamoah-Adu mentioned that people should desist from using the teeth as a form of opener for objects. This common practices by many he says, is extremely unhealthy for the teeth.
Dr. Norvishie Arkutu, another dental orthodontist indicated that it is essential for every individual to have a special dentist who renders them unique dental health services especially for emergency situations.
"Being registered with a dentist makes them responsible for you. It as well offers you the opportunity to special treatments in the case of emergencies. Adding that they have a rotary system to schedule special appointment to schedule on special occasions," she stated.
During the show, the health experts made interesting revelations about protruding teeth, gap teeth and associate conditions that necessitate grinding teeth while asleep.
Below are some footages of the discussion:
Latest Stories
-
Koforidua High Court restrains Akropong traditional leaders from Awukudae celebrations
16 minutes -
Ghana commissions 10 Forest Protection Camps to boost fight against illegal mining and logging
41 minutes -
Kristo Asafo founder Apostle Kwadwo Safo to be buried on July 30
46 minutes -
GSA shuts down sections of Ashaiman China Mall warehouse over alleged substandard products
51 minutes -
Ghana’s export earnings hit $11.1bn on surging gold prices
1 hour -
Oil falls after Trump says US will end Iran war ‘very quickly’
2 hours -
Digital misinformation revives debate over criminalising speech – Pumpuni Asante
2 hours -
Free speech cannot ignore accountability or security in digital age – Kojo Pumpuni Asante
2 hours -
Do not tarnish your legacy – Okuapehemaa cautions Sophia Akuffo amid enstoolment reports
2 hours -
Rule of law must prevail – Kwakye Ofosu defends gov’t position on OSP case
2 hours -
Woman, 24, allegedly attacked during robbery attempt at AkatsiÂ
3 hours -
Dram–Deloitte trial raises cross-border, UK liability questions
3 hours -
OSP’s future may depend on constitutional review – Felix Kwakye Ofosu
3 hours -
Mahama fully backs the OSP – Gov’t rejects secret plot claims
3 hours -
Study urges balanced expectations for agricultural innovations being developed in Ghana
4 hours